반응형
보통 16주만 돼도 성별을 알 수가 있다.
특히 남아라면 대부분 16주면 알 수 있는 거 같다.
16주라도 아이의 성별을 모르는 경우는 아래와 같다.
- 초음파 사진상 우람하게 다리 사이로 튀어나와 있는 게 잘 안 보인다
- 아기가 다리를 꼬고 있다.
- 탯줄인지 아니면 남아의 상징이 튀어나와있는 건지 애매하다
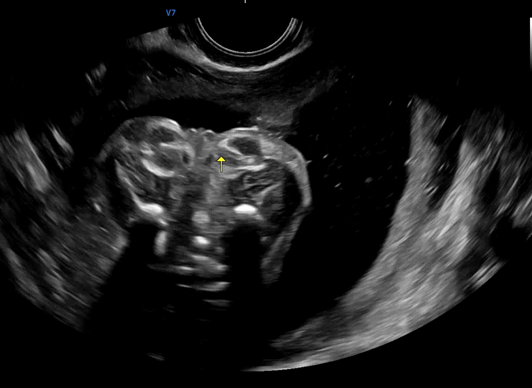
왕배의 성별이 너무 궁금했으나 우리 부부도 16주 때는 알 수가 없었다.

초음파 사진을 보면 뭐가 약간 튀어나와있는 거 같으면서도 아닌 거 같았고, 의사 선생님께 여쭤봐도 처음에는 남아인거 같았는데 자세히 보니깐 아닌거 같기도 하고 애매하다는 답변을 주셨다 🤷♂️🤷♂️
오랑이: 저 사진대로라면 남자아이면 안돼. 너무 작아...
우리 부부는 51:49 정도의 의견으로 첫째는 딸이기를 임신 초반부터 원했었다. 나는 남아라도 상관없었지만 초음파
사진의 크기라면 여아인 게 훨씬 낫다고 판단했다. 남아이기에는 아빠를 너무 안 닮았기도 하고.
하여튼 기대에 잔뜩 차서 방문했지만 4주나 더 기다려야 했다.
20주 0일, 산부인과 방문!
다시 산부인과에 방문했고 초음파 사진을 봤다.

왕배는 딸이었다 ❤️
아주 깐깐한 공주님이라 오랑이를 힘들게 했구나ㅠㅠ
그래도 이제 성별을 확실히 알았으니 아기 옷이나 가구의 색상을 정할 수 있게 되었다.
(트리트랩도 색상 고민을 많이 했었는데 서린 핑크로?ㅎㅎ)
얼른 나와서 아빠랑 놀자!
반응형
'임신과 육아' 카테고리의 다른 글
| 출산부터 생후 65일까지 느낌점 및 팁들(+ 육아템 리뷰) (3) | 2025.03.27 |
|---|---|
| [15주] 끝나지 않는 입덧, 그 이상 (0) | 2024.09.07 |
| [2024.06.15] 두 번째 산부인과 방문 - 8주 5일차 (0) | 2024.06.18 |
| 오랑이 근황 - 6주차, 7주차 (2) | 2024.06.15 |
| [2024.05.27] 영양제 그리고 같이 처음 산부인과 방문 - 5주 5일차 (2) | 2024.06.01 |