이 날은 우리가 만난 지 100일이었다.
100일이 되면 반지 맞추러 가자고 했었는데...
반지는커녕 산부인과를 가서 임신확인서를 받게 생긴 것이다!
물론 너무 기쁘지만 느낌이 참 이상했다.
내가 아빠라니...

일단 전날밤 오랑이를 재워놓고 열심히 병원을 찾고 공유 메모장에 적었다.
이번이 임테기에서 아이가 있다는 것을 안뒤 바로 공유 메모장을 만들어 이것저것 적기 시작했다.
병원, 영양제, 용품, 주의 사항 등...
다행히 같이 애플 휴대폰을 사용하고 있어 이런 것들을 만들기가 편했다.
그리고 남자라 가입도 안되는 맘카페에 가서 가입 없이 볼 수 있는 글들을 찾으며 병원과 정보들을 찾고 모았다.
영양제
광고는 아니니 절대 안심해도 된다.
평소 비타민 관련 정보를 쿠마 블로그를 통해 얻었는데, 임신 관련 가장 좋은 비타민을 찾았고 3가지를 찾아 오랑이를 챙겨줬다. (약통으로 소분!)
1. (종합비타민) 쏜리서치 베이직 프레나탈 포 프레그넌트 앤 락테이팅 우먼(1개에 30일분)

아이도 아이지만 갑자기 아이가 생긴 오랑이가 특히 걱정이 되었다.
오랑이가 근래 몇일동안 입덧과 냄새에 대해 매우 예민해지고 하루에 절반을 졸거나 잤다. 평소 운동도 꾸준히 해서 매우 건강했던 오랑이인데 픽픽 쓰러져 자는 모습을 볼 때마다 마음이 아팠다.
이 비타민은 아이와 산모 모두에게 좋은 최고급 종합 비타민이다. 섭취방법은 밥 먹고 바로 1알씩(하루 총 3알)을 먹으면 된다. 엽산, 철분, 비오틴, 칼슘, 마그네슘, 아연, 미네랄 등이 함유되어 있다. 단순히 성분만 좋은 게 아니라 성분의 원료 자체도 고급으로 좋다.
이번에 알았지만 비타민 A의 경우 산모가 과하게 먹으면 안좋다고 하던데, 이 제품은 베타카로틴 혼합으로 몸에서 필요할 때만 비타민 A로 전환되는 성분으로 들어가 있어 안심할 수 있고, 입덧도 심한 오랑이한테 완화시켜 줄 수 있는 비타민들이 같이 들어가 있다. 특히 좋은 엽산까지.. 엽산은 아이에게 짱짱 중요!!
이게 종합 비타민이긴 하지만 다른 부족한 성분들이 몇 개 있어 아래 두개를 더 먹었다.
2. (유산균) California Gold Nutrition, LactoBif 30 프로바이오틱, 1000억CFU, 베지 캡슐 60정

유산균은 산모가 아니더라도 너무너무 중요하고 필요한 약이기 때문에 평소 먹던걸로 계속 먹을 예정이다. 단순히 변비 이상으로 효능이 많으니 꼭 찾아보고 유산균은 강추이다. 기본적으로 100억 마리 이상을 먹어야 하며, 한국 제품들은 가성비가 너무 안 좋아 이 제품으로 계속 먹는 중이다.
3. (오메가) California Gold Nutrition, 프리미엄 크릴 오일, SUPERBABoost 함유, 1,000mg, 피쉬 소프트젤 60정

이것도 현존하는 가장 좋은 오메가3 중 하나이다. 오메가 3 같은 경우는 원료나 성분에 따라 흡수율 자체가 다르다. 기존에도 먹던 거라 이걸로 오메가 3은 채웠다. 아이에게도 필요한 성분이다. 다만 출산 마지막 달부터는 안 먹일 생각이다. 출산할 때는 피가 너무 잘 순환되면 안 좋다는 이야기를 들었는데 정확한 워딩인지는 모르겠지만 여하튼 좋지 않을 수도 있어서 마지막 달에만 건너뛸 예정이다.
출산하면 같이 오래 살아야하니깐 같이 먹을 예정이고!
병원
병원은 집에서 가까우면서 지역을 안 벗어나도록 잡았다.
오랑이 집과 우리집을 거리가 멀었다. 그래서 우리 집 근처에는 오랑이의 친구나 아무런 연고가 없었기 때문에 더더욱 지역을 안 벗어나도록 병원을 잡았다. 물론 나중에 바꿔도 되긴 하지만 처음부터 괜찮은데로 가면 좋으니깐!
이 병원은 병원이라 출산뿐만 아니라 다른 종합적인 진료도 받을 수 있었고 조리원도 바로 있어 오랑이한테 좋아 보였다. 그리고 조리원에서 만난 사람들을 출산이 끝나고도 계속 만난다고 하여 지역에 같은 친구들을 만들어 주고 싶었다.

아침 일찍 갈 뻔했으나(?) 잠이 부족한 오랑이의 잠을 위해 잠을 더 자고 갔다.
어리숙한 우리와 달리 병원은 엄청 빠르게 돌아가고 있었다.
생각보다 오랑이 차례가 빨리 왔고 들어가는 오랑이를 지켜보고 있었는데, 간호사 분이 나를 불렀다.
보호자 분도 들어 오셔야죠~
얼떨떨하고 느낌이 이상했지만 나도 오랑이의 상태가 궁금했기에 따라 들어갔다.
내가 보호자라니...ㅠㅠ
혼신신고도 하기 전에 책임져야 할 사람이 두 명이 생겼다...
진료실에 들어가자마자 오랑이는 초음파실에 들어갔고 나도 곧이어 들어가라고 말해주셔서 들어갔다.
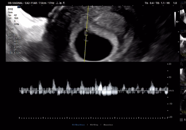
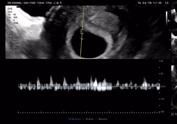
(여기부터는 사진은 못 찍는다)
긴장한 오랑이와 나는 우측에 있는 모니터를 봤다. 진짜 드라마에서 보던 그런 모니터였다.
까만 화면에 흰색 장면들.
의사 선생님은 여기저기 보여주시면서 오랑이와 왕배(우리 아기의 태명)의 상태를 체크해 주셨다.
오랑이의 상태는 다행히도 아주 양호했다. 특이사항이 없던 오랑이.
그리고 왕배집을 보여주셨다.

왕배는 현재 5주 5일 차로 0.5cm였다.
너무 기분이 이상했다. 무슨 느낌일까 내 배에 품어진 상태도 아닌데도 그 느낌은 세상 처음 느껴보는 느낌이었다.
오랑이한테 더 잘해야지...
그리고 그 얼떨떨함을 다 느끼기 전에 더 큰 버참이 찾아왔다.
아기 심장 소리 들어보실래요?
의사 선생님은 지금 아이의 심장 소리를 들을 수 있다고 하셨다.
0.5cm 되는... 아직 세포라고 생각했는데 심장이 뛰다니.

진짜 멍하면서도 기분이 너무너무 이상했다.
오랑이는 눈물을 흘렸다.
우리의 아이가 생긴다는 것이 이런 기분이었을까.
정말 잊을 수 없는 생애 경험해 보지 못한 순간이었다.
심장 소리를 들은 후 진료는 끝났다.
물어보고 싶은 것들이 많아 잔뜩 적어갔으니 질문을 하지도 못했다.
머리가 하얘졌다고 해야 하나.
멍한 상태로 병원을 빠져나왔고 우리는 일단 서울로 향했다.
'임신과 육아' 카테고리의 다른 글
| [20주 0일] 왕배의 성별을 알게 되었어요! (0) | 2024.09.22 |
|---|---|
| [15주] 끝나지 않는 입덧, 그 이상 (0) | 2024.09.07 |
| [2024.06.15] 두 번째 산부인과 방문 - 8주 5일차 (0) | 2024.06.18 |
| 오랑이 근황 - 6주차, 7주차 (2) | 2024.06.15 |
| [2024.05.24] 사귄지 96일쯤 되었을 때 - 임신? (0) | 2024.05.29 |