왕배 패밀리

오랑이와 왕배 아빠의 이야기

반응형

임신과 육아 7

출산부터 생후 65일까지 느낌점 및 팁들(+ 육아템 리뷰)

최근 출산부터 출산 휴가까지 정말 정신없이 지나가고 있다.너무 시간이 빨리 지나가고 있어, 그 사이 느낀 점들과 팁들을 남겨두려고 한다.의외로 필요 없던 것들아기방아기 방은 우리 집의 경우 필요가 없었다. 지금도 거실에서 두고 키우고 있다.이유는 살림을 끝임없이 해야 하는데, 아이를 따로 방에 두면 불안하기도 하고 작은 움직임들을 관찰할 수가 없기 때문이다.아기 방을 따로 뒀다면 아기의 울음 말곤 '배고픈 신호, 기지개 켜는 모습, 혼자 동당동당 거리며 노는 모습'을 눈으로 담지 못하고 홈캠으로만 봤을 거 같다.큰 아기 침대큰 아기 침대도 필요가 없었다. 여기서 크다는 것은 슈퍼 싱글이나 저상형 큰 침대를 말하는 것이 아니다.리x 드림x보다 신생아용으로 더 큰 침대들을 말하는 것이다.허리와 손목을 지키기..

임신과 육아 2025.03.27

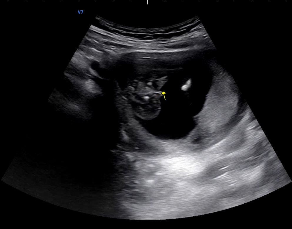
[20주 0일] 왕배의 성별을 알게 되었어요!

보통 16주만 돼도 성별을 알 수가 있다.특히 남아라면 대부분 16주면 알 수 있는 거 같다. 16주라도 아이의 성별을 모르는 경우는 아래와 같다.초음파 사진상 우람하게 다리 사이로 튀어나와 있는 게 잘 안 보인다아기가 다리를 꼬고 있다.탯줄인지 아니면 남아의 상징이 튀어나와있는 건지 애매하다왕배의 성별이 너무 궁금했으나 우리 부부도 16주 때는 알 수가 없었다.초음파 사진을 보면 뭐가 약간 튀어나와있는 거 같으면서도 아닌 거 같았고, 의사 선생님께 여쭤봐도 처음에는 남아인거 같았는데 자세히 보니깐 아닌거 같기도 하고 애매하다는 답변을 주셨다 🤷‍♂️🤷‍♂️오랑이: 저 사진대로라면 남자아이면 안돼. 너무 작아...  우리 부부는 51:49 정도의 의견으로 첫째는 딸이기를 임신 초반부터 원했었다. 나는..

임신과 육아 2024.09.22

[15주] 끝나지 않는 입덧, 그 이상

입덧은 보통 3-4달 정도면 끝난다고 한다. 우리 오랑이는 입덧으로 엄청나게 고통받고 있었고, 입덧보다 더 심각하다는 토덧을 하고 있었다. 토덧임신을 하면 TV에서 보면 토하는 모습이 간혹 나온다. 냄새가 나면 한다는 설정이 가장 많은 거 같다. 물론 냄새에 엄청나게 민감해지지만, 토덧과 직결되는 부분은 아닌 거 같다. 우리 오랑이는 토덧이 아주 심하게 왔다. 3개월이건 4개월이건 상관없이 날이 가면 갈수록 심해졌다. 남편들은 토덧이 심한 게 뭔지 모를 수 있다.나도 몰랐으니깐. 간단히 말하면 아래와 같은 상황이다. 물 마시면 -> 토한다과일 먹으면 -> 토한다밥 먹으면 -> 토한다냉면 같은 차가운 음식 -> 토한다뜨거운 음식 -> 토한다근데 배는 계속 고프다...위와 같은 상황이다. 나의 나이가 결혼 ..

임신과 육아 2024.09.07

[2024.06.15] 두 번째 산부인과 방문 - 8주 5일차

첫 번째 산부인과를 방문하고 난 뒤 원래는 2주 후에 방문해야 하지만,오랑이가 일을 하고 있어 2주보다는 조금 늦게 대신 토요일 오전에 검진을 잡았다.  저번에는 평일날 방문해서 오랑이를 먼저 내려주고 10분 정도 기다리다 차도 세우고 그랬지만, 주말에는 차를 세우는 것 자체가 불가능했다. 저출산 국가라고 하면서 산부인과에 차와 사람들이 왜 이렇게 많은 거지??? 참 미스테리한 부분이다. 차는 기다리다가 병원에 주차하는 것을 포기하고 근처 마트에 세웠고 오랑이를 데리러 갔다. 오랑이 역시 병원 안에서 수많은 아이들과 산모들 사이에서 기다리고 있었다.  그렇게 같이 오랫동안 기달렸고 검사를 받으러 들어갔다.근데 왠지 모르게 우리 검사만 빨리 끝나는 느낌...저번과 동일하게 검사를 진행했는데 왕배가 몰라보게..

임신과 육아 2024.06.18

오랑이 근황 - 6주차, 7주차

첫 번째 산부인과 방문 이후 현실로 돌아와 바쁘게 살아갔다. [2024.05.27] 영양제 그리고 같이 처음 산부인과 방문 - 5주 5일차이 날은 우리가 만난 지 100일이었다.100일이 되면 반지 맞추러 가자고 했었는데...반지는커녕 산부인과를 가서 임신확인서를 받게 생긴 것이다! 물론 너무 기쁘지만 느낌이 참 이상했다.내가 아boyfriend-to-husband.tistory.com부모님께 알리기먼저 오랑이 뱃속에 왕배가 있다는 사실을 오랑이 부모님과 나의 부모님에게 알렸었다.(전화로 주절주절 주절...)남편: 어무니 근데요..어무니: 뭐냐남편: 어무니 할머니 되었어요어무니: 모?? (하하하하하하). 축하한다 근데 벌써 할머니를 만들면 어떡하냐!! (하하하하) 오랑이(이때는 이름을 모르고 계셔서 사실..

임신과 육아 2024.06.15

[2024.05.27] 영양제 그리고 같이 처음 산부인과 방문 - 5주 5일차

이 날은 우리가 만난 지 100일이었다.100일이 되면 반지 맞추러 가자고 했었는데...반지는커녕 산부인과를 가서 임신확인서를 받게 생긴 것이다! 물론 너무 기쁘지만 느낌이 참 이상했다.내가 아빠라니...일단 전날밤 오랑이를 재워놓고 열심히 병원을 찾고 공유 메모장에 적었다.이번이 임테기에서 아이가 있다는 것을 안뒤 바로 공유 메모장을 만들어 이것저것 적기 시작했다.병원, 영양제, 용품, 주의 사항 등...다행히 같이 애플 휴대폰을 사용하고 있어 이런 것들을 만들기가 편했다. 그리고 남자라 가입도 안되는 맘카페에 가서 가입 없이 볼 수 있는 글들을 찾으며 병원과 정보들을 찾고 모았다. 영양제광고는 아니니 절대 안심해도 된다.평소 비타민 관련 정보를 쿠마 블로그를 통해 얻었는데, 임신 관련 가장 좋은 비타..

임신과 육아 2024.06.01

[2024.05.24] 사귄지 96일쯤 되었을 때 - 임신?

정말 나와 오랑이는 모범생처럼 살아왔다.크게 엇나간 적도 없었고 공부도 줄곧 열심히 하는 사람이었다.나의 일탈이라곤 고등학생 때 부모님 몰래 노래방을 갔던 거 정도였으니깐... 성인이 돼서도 술을 마시는 거 외에는 큰 일탈 없이 열심히 살아왔다. 물론 술도 찾아먹진 않고 마셔야 될 일이 있을 때만 마셨다. 그렇게 33년을 살아왔다. 그러던 중 오랑이를 만나게 되었다. 오랑이를 만나는 순간 문뜩 얘랑 결혼할 거 같은데?라는 생각이 들었다. (왜 그랬는지는 나중에 다른 기록에서 남겨보겠다)그렇게 보통 사람들의 20대의 첫 연애처럼 매일같이 만나고 함께 했다.  그러던 중, 오랑이가 90일쯤 되었을까.오랑이의 몸에 이상 현상이 포착되었다. 음식 냄새에 매우 매우 민감해졌다. 같이 먹던 보통의 고기에서도 냄새가..

임신과 육아 2024.05.29
반응형